足の親指の付け根ってどこ?解剖と痛みの発生メカニズム

親指付け根の構造と役割
「足の親指の付け根」とは、医学的に**第一中足趾節関節(MTP関節)**と呼ばれる場所を指します。足の親指の骨と中足骨がつながる関節で、歩く・走るといった動作で体重を支える大切な部分です。この関節には「種子骨(しゅしこつ)」と呼ばれる小さな骨も存在し、地面を蹴り出すときにバネのような役割を果たしていると言われています(引用元:https://www.mediaid-online.jp/clinic_notes/information/827/)。
さらに、関節周囲には靭帯・腱・軟骨・関節包などが複雑に入り組み、動作をスムーズに行えるようになっています。親指の付け根は、人が立つ・歩く際に最も大きな力が加わる部位の一つだと考えられています。
痛みが発生しやすい理由
この場所が痛みや違和感を抱えやすいのにはいくつか理由があります。まず、体重が前方に移動するときに親指の付け根に大きな荷重が集中するため、骨や軟骨に負担がかかりやすいと言われています。また、ジャンプやランニングのように地面を強く蹴り出す動作では、さらに大きな圧力が加わるため、種子骨や関節に炎症が起きやすいとされています(引用元:https://www.rehasaku.net/)。
加えて、靴の形状や履き方も大きく関係します。例えば、先の細い靴やヒールの高い靴を履くと、足の親指が強く圧迫され、付け根の関節にストレスがかかりやすい状況になります。長時間の立ち仕事や、硬い床でのスポーツ活動なども、慢性的な痛みにつながるケースがあると言われています(引用元:https://www.kusurinomadoguchi.com/)。
こうした要因が重なることで、外反母趾や種子骨炎、関節の炎症などにつながる可能性があり、足の親指の付け根はトラブルが発生しやすい場所とされています。
#足の親指の付け根
#足の解剖と仕組み
#痛みの原因
#歩行と負荷
#靴と足トラブル
痛みのパターン別:まず疑うべき主な疾患・状態

種子骨炎・種子骨障害
足の親指の付け根には小さな種子骨があり、歩行やジャンプで強い負荷を受けます。この部分に炎症が起きると「踏み込む時だけ鋭く痛い」と言われています。特にランナーやダンサーなど、繰り返し前足部に力をかける人に起こりやすいとされています(引用元:https://www.mediaid-online.jp/clinic_notes/information/827/)。
外反母趾
親指が外側に曲がり、付け根が内側に突出する状態です。靴に当たると赤く腫れたり、慢性的な鈍痛を感じたりするケースが多いとされています。進行すると関節への負担が大きくなり、歩行時の痛みも強まると言われています(引用元:https://www.rehasaku.net/)。
強剛母趾
親指の付け根関節が硬くなり、曲げ伸ばしがしづらくなる状態です。初期は「動かした時に違和感」程度ですが、進行すると関節の変形を伴い、体重をかけた時に痛みが増す傾向があるとされています(引用元:https://www.kusurinomadoguchi.com/)。
痛風(関節炎型)
血中尿酸値が高い人に起こりやすい疾患で、ある日突然「夜間に激しい痛みで目が覚める」と表現されることがあります。親指の付け根が赤く腫れて熱を持つのが特徴だと言われています。繰り返すことで関節にダメージが蓄積することもあるようです。
関節炎・変形性関節症・関節リウマチ
加齢や炎症性疾患によって関節の軟骨がすり減り、痛みや腫れが出やすくなるとされています。朝方にこわばりが強い、複数関節に症状がある、といった特徴から他の疾患と区別されることがあります。
疲労骨折・軟部組織炎
スポーツや長時間歩行によって繰り返し負荷がかかり、骨や周囲の筋・腱に炎症が生じることがあります。「使いすぎると痛み、休むと軽くなる」というパターンが多いと言われています。
疾患間の鑑別ポイント
似た症状でも、発症タイミングや痛みの性質で区別されることがあります。例えば、突発的で激烈な痛みなら痛風、動かしにくさが主体なら強剛母趾、圧迫での赤みや変形なら外反母趾といった具合です。逆に、スポーツ習慣が背景にある場合は種子骨炎や疲労骨折を疑う視点も重要とされています。
#足の親指の付け根の痛み
#外反母趾と強剛母趾
#種子骨炎と疲労骨折
#痛風と関節炎
#痛みの鑑別ポイント
セルフチェック&質問リスト:あなたはどのパターン?

押すと痛むのはどこ?
まず、足の親指の付け根を軽く押してみましょう。ピンポイントで強い痛みが出る場合は、種子骨炎や疲労骨折と関連している可能性があると言われています。逆に「押したときよりも動かすと痛む」なら、強剛母趾や関節炎のケースが考えられるとされています(引用元:https://www.mediaid-online.jp/clinic_notes/information/827/)。
赤み・腫れ・熱感の有無
触れた時に熱を持っていたり、関節周囲が赤く腫れていたりするなら痛風や関節炎が疑われるとされています。特に痛風は「夜に突然激痛で起きる」ようなエピソードと一緒に現れることが多いようです(引用元:https://www.kusurinomadoguchi.com/)。
動かしにくさはある?
「親指が曲げにくい」「そらすと突っ張る感じがある」なら、強剛母趾の可能性があると言われています。初期段階では違和感程度ですが、進むと歩行動作そのものに支障が出ることもあるようです(引用元:https://www.rehasaku.net/)。
発作的?慢性的?
痛みが発作的に強く出るタイプなら痛風が代表的です。一方で、長期的に続く鈍痛は外反母趾や関節症のサインとされています。時間の経過と症状の出方を整理すると、原因の目星をつけやすいと言われています。
靴や運動との関係
「靴を履いた時に内側が当たって痛む」場合は外反母趾との関連が考えられます。また、長時間のランニングやジャンプ系のスポーツ後に痛みが増すなら、種子骨障害や疲労骨折のリスクが高まるとされています。普段の運動履歴を思い返すことも手がかりになるでしょう。
チェック結果からの仮説例

- 押すと鋭く痛む → 種子骨炎・疲労骨折
- 赤みや腫れが強い → 痛風・関節炎
- 動かしにくい → 強剛母趾
- 靴に当たって悪化 → 外反母趾
- 発作性か慢性的か → 病気のタイプを見分ける重要ポイント
このように、セルフチェックはあくまで目安ですが、自分の症状を整理しておくと来院時に医師へ伝えやすくなると言われています。
#足の親指のセルフチェック
#痛風と関節炎の特徴
#外反母趾の見分け方
#強剛母趾のサイン
#種子骨炎とスポーツ習慣
痛みを軽くするためのセルフケアと注意点

靴の選び方と負荷を減らす工夫
足の親指の付け根が痛むときは、まず靴の形やサイズを見直すことが大切だと言われています。つま先が細い靴やヒールが高い靴は、関節を圧迫しやすいので避ける方が良いでしょう。クッション性のある中敷きやパッドを利用すると、着地の衝撃がやわらぐケースもあるようです。また、歩き方を工夫して、かかとからスムーズに体重を移す意識を持つことが負担軽減につながるとされています(引用元:https://www.rehasaku.net/)。
ストレッチと足指のエクササイズ
軽度の痛みであれば、足指をゆっくり動かす運動や足裏の筋膜ほぐしが役立つと考えられています。タオルを足指でつかんで引き寄せる運動や、ゴルフボールを足裏で転がす方法は、自宅でも取り入れやすいとされています。こうしたエクササイズは血流改善や筋肉の柔軟性向上に役立つと言われています(引用元:https://www.kusurinomadoguchi.com/)。
アイシングと薬の注意点
炎症や熱感を伴う場合は、短時間のアイシングで症状がやわらぐことがあるようです。ただし、冷やしすぎると血流が悪くなるため、15分程度を目安に繰り返す方法が勧められていると言われています。また、市販の消炎鎮痛剤を使う場合でも、用法用量を守ることが前提です。必要に応じて専門家へ相談することが望ましいとされています(引用元:https://www.mediaid-online.jp/clinic_notes/information/827/)。
避けた方が良い動作
痛みがある状態でハイヒールを履いたり、長時間のランニングやジャンプ動作を続けたりするのは避けた方が良いとされています。無理をすると炎症が悪化し、改善までの期間が長引くこともあるため、まずは安静と調整を意識することが大切だと考えられています。
#足の親指セルフケア
#靴選びとインソール
#足指ストレッチ
#アイシングの注意点
#避けるべき動作
いつ病院を受診すべきか?診断・治療の流れ

来院を考えるべきサイン
足の親指の付け根の痛みが軽度で一時的なら、セルフケアで落ち着くこともあると言われています。ただし、強い痛みが続く、腫れや赤みがひどい、関節が動かせない、あるいは数週間たっても改善しない場合は、医療機関への来院が勧められています(引用元:https://www.mediaid-online.jp/clinic_notes/information/827/)。
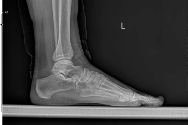
医療機関で行われる検査
整形外科や足専門医では、まず触診や問診で症状を確認します。そのうえで、X線検査で骨の変形や骨折を確認し、必要に応じてMRIや超音波検査で軟部組織の炎症を調べることがあるようです。痛風など代謝性疾患が疑われる場合には、血液検査で尿酸値をチェックすることも一般的だと言われています(引用元:https://www.rehasaku.net/)。
主な治療法の選択肢
保存療法としては、安静や靴の調整、インソールやサポーターの使用がよく選ばれるとされています。痛みや炎症が強ければ、薬物療法や注射療法が加わることもあるようです。また、変形や機能障害が進行しているケースでは、手術療法が検討される場合もあると言われています(引用元:https://www.kusurinomadoguchi.com/)。
回復の目安と再発予防
改善までの期間は原因によって異なります。軽度であれば数週間、慢性化している場合には数か月単位で経過をみることが必要になるとされています。再発を防ぐには、適切な靴選びや体重コントロール、日常的なストレッチなどが役立つと考えられています。運動習慣を見直し、足に過度な負担をかけない工夫を続けることが大切だと言われています。
#足の親指の付け根の痛み
#来院の目安
#医療機関での検査
#治療法の選択肢
#再発予防のポイント
