シーバー病とは? 症状・発症年齢

成長期に起こりやすい「かかとの痛み」
「走るたびにかかとがズキッとする」「つま先立ちで歩くようになった」――そんな症状が続くと、もしかするとシーバー病かもしれません。
シーバー病は正式には「踵骨骨端症(しょうこつこったんしょう)」と呼ばれ、主に小学生から中学生にかけて発症すると言われています。特に、サッカーやバスケットボールなど走る・跳ぶ動作が多いスポーツをしている子どもに多く見られる傾向があります。
(引用元:https://rehasaku.net/magazine/ankle/sieberdisease-healquickly )
この時期のかかとには、骨の端にある「骨端線(こったんせん)」という軟骨組織が残っています。成長の途中にあり、アキレス腱や足底腱膜などの強い引っ張り力が繰り返し加わると、その部分に炎症や微細な損傷が生じると考えられています。つまり、骨が成長している最中の「弱い部分」に負担が集中しやすいというわけです。
発症しやすい年齢と特徴
シーバー病は一般的に8〜13歳前後の成長期に多いと言われています。男の子に多く見られますが、最近では女の子のスポーツ参加も増えており、性別差はやや小さくなっているとも言われています。
主な症状としては、かかとを押すと痛みが出る、走ると強く痛む、朝の起床時に痛みを訴えるなどがあります。初期では「なんとなく違和感がある」程度でも、無理を続けると徐々に痛みが強くなる傾向があるようです。
また、痛みが出ることで自然に体がかばうような動きを覚え、つま先歩きや片足重心になることもあります。こうした歩き方の変化が別の部位に負担をかけることもあるため、早めに気づいてケアを始めることが大切と言われています。
(引用元:https://www.saiseikai.or.jp/medical/disease/apophysitis_of_the_calcaneus )
痛みの程度や回復までの期間には個人差があり、「いつのまにか良くなった」と話す子もいれば、「長引いて部活を休んだ」というケースもあります。いずれの場合も、成長期特有の一時的な変化によって起こるものとされており、適切なケアと休息で改善が期待できると考えられています。
(引用元:https://ar-ex.jp/sakudaira/813929565144/10歳前後の踵の痛み-踵骨骨端症 )
#シーバー病
#成長期のかかとの痛み
#スポーツ障害
#踵骨骨端症
#子どもの足トラブル
なぜシーバー病になるのか? 原因とリスク要因

成長期の「骨の未成熟」と負担のバランス
シーバー病の主な原因は、「成長期の骨の未成熟」と「運動による繰り返しの負担」が重なることだと言われています。
成長途中のかかとの骨(踵骨)は、まだ軟骨成分が多く、完全な強度を持っていません。そのため、アキレス腱やふくらはぎの筋肉から強く引っ張られると、かかとの後ろにある“骨端線(成長軟骨)”が刺激を受けやすい状態になります。
特にスポーツを頑張る子どもほど、走る・跳ぶ動作が多く、結果的にこの部位に繰り返しストレスがかかりやすい傾向があるようです。
(引用元:https://rehasaku.net/magazine/ankle/sieberdisease-healquickly )
こうした刺激が続くと、骨端部の血流が悪くなったり、微細な炎症が起きたりして痛みが出ると考えられています。つまり、かかと自体に「ケガをした」というより、成長期に特有の負担バランスの崩れが原因に近いとも言えるのです。
リスクを高める環境と体の特徴
シーバー病はスポーツ選手によく見られますが、運動量だけでなく、体の使い方や足の形にも関係すると言われています。
たとえば、偏平足やO脚、ふくらはぎの筋肉が硬い子どもは、かかとへの引っ張り力が強くなりやすいとされています。
また、成長期には身長が急に伸びて筋肉の柔軟性が追いつかないことがあり、これもリスクのひとつと考えられています。
(引用元:https://www.saiseikai.or.jp/medical/disease/apophysitis_of_the_calcaneus )
さらに、スパイクシューズやクッション性の低い靴を長時間使用することも、かかとに衝撃を与える要因になることがあります。部活動やクラブチームで毎日練習している場合は、休養日を設けたり、練習強度を調整したりすることが再発防止にもつながるとされています。
最後に、環境面では「固いグラウンド」「長時間のジャンプ練習」「薄いインソール」なども注意が必要です。こうした条件が重なると、まだ発達途中のかかとに小さな負担が積み重なってしまいます。
そのため、痛みが出たときは「休ませる」「ストレッチを取り入れる」「靴を見直す」といった対策を早めに行うことが大切だと言われています。
(引用元:https://ar-ex.jp/sakudaira/813929565144/10歳前後の踵の痛み-踵骨骨端症 )
#シーバー病の原因
#成長期の足トラブル
#運動によるかかとの負担
#スポーツ障害予防
#踵骨骨端症のリスク
どう診断される? 他疾患との見分けポイント

症状の聞き取りと触診の流れ
シーバー病の診断は、まず「いつから」「どんな時に」痛みが出るのかを丁寧に聞き取ることから始まると言われています。
来院した子どもには、かかとのどの部分が痛むのか、歩き方や姿勢のクセを確認することが多いようです。
実際の検査では、かかとを軽く押したり、つま先立ちをしてもらったりして、痛みの出る位置や強さを確かめる“触診”が行われます。
この時点で「アキレス腱の付け根が痛い」「足の裏に痛みが広がる」など、特徴的な反応が見られる場合、シーバー病の可能性が高いと考えられています。
(引用元:https://rehasaku.net/magazine/ankle/sieberdisease-healquickly )
ただし、見た目の腫れがほとんどないことも多く、本人の訴え方やスポーツ歴を含めて総合的に判断されることが多いようです。
特に成長期の子どもは「痛い」と伝える加減が難しく、症状の進行を見落としやすいとされているため、保護者の観察も重要だと言われています。
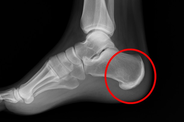
画像検査で確認されるポイント
必要に応じて、レントゲンや超音波検査が行われることもあります。
レントゲンでは骨端線の変化や、骨の一部に炎症や剥離がないかを確認する目的で使われることが多いようです。
超音波(エコー)では軟部組織の状態をリアルタイムで見られるため、炎症の有無を把握しやすいとも言われています。
これらの検査を通して、疲労骨折やアキレス腱炎など、似た症状の別疾患と区別することができます。
(引用元:https://www.saiseikai.or.jp/medical/disease/apophysitis_of_the_calcaneus )
シーバー病と似た症状を示す病気としては、「踵骨骨挫傷(しょうこつこつざしょう)」や「足底筋膜炎」などがあります。これらは痛みの位置や発症のきっかけが異なるため、触診や画像検査によって慎重に見分けることが大切だと言われています。
また、短期間で急に悪化した場合や、安静時にも強い痛みがある場合は、別の要因が関わっている可能性もあるため、専門家の判断が望ましいとされています。
(引用元:https://ar-ex.jp/sakudaira/813929565144/10歳前後の踵の痛み-踵骨骨端症 )
来院時には、痛みが出た時期やスポーツの頻度、靴の種類なども一緒に伝えると、原因の特定につながりやすいようです。
「ちょっとした違和感だから」と放っておくと、長引くケースもあるため、早めに相談することが勧められています。
#シーバー病の検査
#かかとの痛みチェック
#成長期スポーツ障害
#レントゲンと超音波検査
#シーバー病の見分け方
療・回復プロセス(セルフケア〜専門施術)

まずは「痛みを和らげること」から
シーバー病の改善には、まず痛みを落ち着かせることが大切だと言われています。
痛みが強い時期には、運動を控えたり、練習量を減らしたりして、かかとへの負担を軽くすることが基本になります。
また、患部を冷やす「アイシング」も有効とされており、1回10〜15分ほどを1日数回行うことで炎症を和らげやすくなるようです。
ただし、冷やしすぎると血流が悪くなる場合もあるため、状態に合わせて調整することが望ましいとされています。
(引用元:https://rehasaku.net/magazine/ankle/sieberdisease-healquickly )
日常生活では、なるべくかかとに体重をかけないよう注意し、階段の上り下りや長時間の立ち姿勢を避けることもポイントです。
無理をせず、痛みが落ち着いてから少しずつ動かすようにすることで、回復を早める効果が期待できると言われています。
柔軟性を高めるストレッチやケア
痛みが軽くなってきたら、ストレッチや軽い運動で柔軟性を取り戻す段階に入ります。
特にふくらはぎ(腓腹筋・ヒラメ筋)やアキレス腱を中心としたストレッチは、かかとへの引っ張りを減らす助けになるとされています。
床や壁を使ったふくらはぎ伸ばし、タオルを使った足首ストレッチなどが代表的です。
(引用元:https://www.saiseikai.or.jp/medical/disease/apophysitis_of_the_calcaneus )
また、成長期の子どもは筋肉の伸びより骨の成長が先行しやすいため、日々のストレッチを習慣化することが再発予防にもつながると考えられています。
さらに、マッサージや筋膜リリースでふくらはぎの硬さを和らげる方法も取り入れられることがあるようです。
専門的な施術と復帰までのステップ
整骨院や医療機関で行われる施術では、超音波治療器や電気刺激を使って血流を促したり、テーピングやインソールで足のバランスを整えたりする方法が取られることもあります。
こうした施術を通して、痛みの軽減と再発防止を同時に目指すケースが多いようです。
(引用元:https://ar-ex.jp/sakudaira/813929565144/10歳前後の踵の痛み-踵骨骨端症 )
復帰までは「痛みが消える → 軽い運動 → 全力動作」という段階的なステップを踏むのが一般的だと言われています。
焦らず少しずつ負荷を戻していくことで、再発のリスクを下げ、より安定した回復が期待できるようです。
親や指導者が様子を見ながらサポートしてあげることが、子どもにとって大きな安心につながると考えられています。
#シーバー病の改善方法
#成長期のかかとのケア
#スポーツ復帰のステップ
#ストレッチとセルフケア
#整骨院での施術
再発を防ぐためにできること(予防とセルフケアの工夫)

痛みがなくなってからが本当のスタート
シーバー病は、痛みが和らぐと「もう大丈夫」と思ってしまいがちですが、実は再発しやすいとも言われています。
その理由の一つは、成長期の骨がまだ完全に固まっておらず、再び強い負荷がかかると同じ場所に刺激が戻ってしまうためです。
痛みが取れたあとも、柔軟性や姿勢のバランスを整えるケアを続けることが大切だとされています。
(引用元:https://rehasaku.net/magazine/ankle/sieberdisease-healquickly )
とくに部活やクラブチームで活動している子どもの場合、練習再開後の“戻し方”がポイントです。
いきなり全力で動くのではなく、ジョギング → 軽いダッシュ → 方向転換 → ジャンプ というように、段階的に負荷を上げる流れを意識することで再発を防ぎやすくなると言われています。
また、練習後には必ずストレッチやアイシングを取り入れ、かかと周辺の血流を整える習慣をつけると良いようです。
日常生活でできる予防の工夫
再発予防の基本は、「負担をかけない環境づくり」と「体の使い方の改善」にあると考えられています。
まず、靴選びではクッション性が高く、かかとをしっかり支えるタイプを選ぶことが推奨されています。
スパイクシューズを長時間履く場合は、インソールを調整して衝撃吸収をサポートするのも効果的だと言われています。
(引用元:https://www.saiseikai.or.jp/medical/disease/apophysitis_of_the_calcaneus )
また、足のアーチが崩れている場合は、インソールや足裏トレーニングを活用することでバランスを整える方法もあります。
さらに、ふくらはぎや太ももの筋肉を伸ばすストレッチ、体幹を鍛える軽いエクササイズなども、再発防止に役立つと考えられています。
親と指導者ができるサポート
子ども自身が「痛みを我慢してしまう」ことも多いため、周りの大人が気づいてあげることも大切です。
練習後に「今日は痛くなかった?」「かばって歩いてない?」と声をかけるだけでも、早めの対応につながります。
また、指導者が練習メニューを柔軟に調整できる環境づくりも、再発を防ぐためには欠かせないとされています。
(引用元:https://ar-ex.jp/sakudaira/813929565144/10歳前後の踵の痛み-踵骨骨端症 )
シーバー病は、成長の途中で誰にでも起こり得る一時的な体のサインだと言われています。
焦らず、体と向き合いながらゆっくり改善を目指すことが、結果的に長くスポーツを続けることにつながるようです。
#シーバー病予防
#成長期の再発防止
#正しい靴選び
#ストレッチ習慣
#スポーツケア
